Lấy cao răng bị tụt lợi do nguyên nhân gì? Cách xử lý đúng

I-Medicare 09/03/2026 235
Chia sẻ:
Lấy cao răng bị tụt lợi, nhiều người hoảng hốt khi nhìn vào gương và thấy nướu thấp hơn trước, rồi đổ lỗi ngay cho buổi lấy vôi răng vừa rồi. Nhưng liệu đó có thực sự là lỗi của nha sĩ, hay nướu bạn vốn đã như vậy từ lâu mà chưa ai chỉ ra? I-Medicare sẽ giúp bạn hiểu đúng nguyên nhân, nhận biết dấu hiệu cần lo và biết chính xác phải làm gì tiếp theo.
Bui Quoc Huy

Tư vấn chuyên môn bài viết

Nguyễn Hữu Tùng Lâm

1. Lấy Cao Răng Bị Tụt Lợi Có Phải Do Lấy Sai Kỹ Thuật?

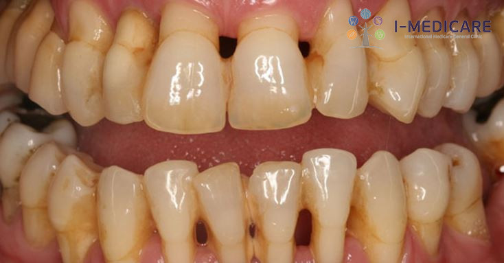
Trong đa số trường hợp, lấy cao răng không phải là nguyên nhân trực tiếp gây tụt lợi. Tình trạng tụt lợi thường đã tồn tại trước đó do viêm nướu, viêm nha chu hoặc cao răng tích tụ lâu ngày. Khi lớp cao răng được loại bỏ, phần nướu thật lộ ra rõ hơn nên nhiều người nhầm rằng tụt lợi xảy ra sau khi lấy cao.

Lấy cao răng bị tụt lợi do nguyên nhân gì? Cách xử lý đúng - ảnh 1

Kỹ thuật lấy cao răng có ảnh hưởng đến nướu không?

Có thể xảy ra, nhưng không phải nguyên nhân phổ biến. Nếu thao tác lấy cao răng quá mạnh, sai góc độ hoặc dùng đầu siêu âm không phù hợp, nướu có thể bị kích ứng hoặc tổn thương nhẹ tại chỗ. Tuy nhiên, tình trạng này thường chỉ gây viêm tạm thời và hiếm khi dẫn đến tụt lợi thật sự.

Tụt lợi thực sự khi đường viền nướu lùi xuống vĩnh viễn, thường là hậu quả của viêm nha chu kéo dài nhiều năm hoặc cao răng tích tụ lâu ngày không điều trị, chứ không phải do một lần lấy cao răng đơn lẻ.

Lấy cao răng bị tụt lợi do nguyên nhân gì? Cách xử lý đúng - ảnh 2

Tại sao nhiều người cảm thấy nướu tụt sau khi lấy cao răng?

Trong nhiều trường hợp, cảm giác tụt lợi sau khi lấy cao răng thực chất chỉ là hiệu ứng thị giác. Khi cao răng tích tụ lâu ngày quanh cổ răng và viền nướu, chúng có thể che phủ phần chân răng đã bị lộ do nướu rút trước đó.

Sau khi cao răng được làm sạch, phần chân răng lộ ra rõ hơn, khiến khoảng hở giữa răng và nướu dễ nhìn thấy. Vì vậy, nhiều người nhầm lẫn rằng việc lấy cao răng gây tụt lợi, trong khi thực tế tình trạng này đã tồn tại từ trước.

2. Vì Sao Sau Khi Lấy Cao Răng Lại Xuất Hiện Tụt Lợi?

Sau khi lấy cao răng, nhiều người nhận thấy nướu có vẻ thấp hơn hoặc phần chân răng lộ rõ hơn so với trước. Điều này thường khiến họ lo lắng rằng việc lấy cao răng đã gây tụt lợi, nhưng thực tế có nhiều nguyên nhân khác liên quan đến tình trạng nướu trước đó.

Tụt lợi ảo chỉ là lộ ra, không phải tụt thêm

Cao răng (vôi răng) tích tụ lâu ngày thường bám dày quanh cổ răng và viền nướu, khiến nhiều người cảm giác nướu vẫn ở vị trí bình thường. Thực tế, lớp vôi răng này có thể che phủ phần chân răng đã bị lộ do nướu rút trước đó.

Khi cao răng được làm sạch, cấu trúc nướu thật sẽ lộ ra rõ hơn. Vì vậy, đây không phải là tụt lợi mới xuất hiện sau khi lấy cao răng, mà chỉ là tình trạng nướu vốn đã tồn tại từ trước.

Tụt lợi sau viêm phản ứng lành bệnh bình thường

Khi nướu bị viêm mạn tính, mô nướu thường sưng phồng và trông cao hơn vị trí bình thường. Lúc này, phần nướu sưng có thể che bớt cổ răng nên nhiều người không nhận ra sự thay đổi của nướu.

Sau khi lấy cao răng và vệ sinh răng miệng tốt hơn, tình trạng viêm giảm dần, nướu sẽ xẹp và co lại về kích thước sinh lý tự nhiên. Quá trình này có thể khiến răng trông dài hơn, dễ bị nhầm là tụt lợi, nhưng thực chất đây là dấu hiệu nướu đang phục hồi và khỏe mạnh hơn.

Lấy cao răng bị tụt lợi do nguyên nhân gì? Cách xử lý đúng - ảnh 3

Tụt lợi do nha chu nặng chưa được điều trị

Trong trường hợp viêm nha chu đã tiến triển nặng, xuất hiện túi nha chu sâu hoặc tiêu xương ổ răng, nướu thường bị tổn thương từ trước. Khi cao răng và mảng bám được làm sạch, mô nướu có thể co rút rõ rệt hơn, khiến phần chân răng lộ ra nhiều hơn.

Đây là tụt lợi thực sự, nhưng nguyên nhân chính là do bệnh nha chu kéo dài, không phải do thao tác lấy cao răng.

Lấy cao răng bị tụt lợi do nguyên nhân gì? Cách xử lý đúng - ảnh 4

3. Dấu Hiệu Nhận Biết Tụt Lợi Sau Khi Lấy Cao Răng

Sau khi lấy cao răng, một số người có thể nhận thấy nướu thay đổi và lo lắng về tình trạng tụt lợi. Việc nhận biết đúng các dấu hiệu sẽ giúp bạn phân biệt giữa phản ứng phục hồi bình thường của nướu và tụt lợi thực sự.

Biểu hiện trực tiếp trên nướu

Dấu hiệu dễ nhận thấy nhất của tụt lợi là đường viền nướu thấp hơn so với trước, khiến phần cổ răng hoặc một phần chân răng bị lộ ra. Vùng chân răng lộ ra thường có màu vàng hơn và kém bóng so với men răng ở phía trên.

Ngoài ra, gai nướu giữa hai răng có thể bị thấp hoặc xẹp xuống, tạo thành khoảng trống hình tam giác giữa hai răng. Đây là tình trạng nhiều người thường gọi là “hở cổ chân răng”.

Lấy cao răng bị tụt lợi do nguyên nhân gì? Cách xử lý đúng - ảnh 5

Triệu chứng cảm giác

Ê buốt răng khi ăn hoặc uống đồ lạnh, nóng, ngọt hoặc chua là triệu chứng phổ biến khi chân răng bị lộ do tụt lợi. Khi lớp nướu rút xuống, phần chân răng nhạy cảm hơn nên dễ phản ứng với các kích thích nhiệt hoặc hóa học.

Khác với ê buốt do sâu răng thường xuất hiện tại một điểm cụ thể, ê buốt do tụt lợi thường lan dọc theo viền nướu và rõ rệt hơn khi ăn uống các thực phẩm có nhiệt độ hoặc vị mạnh.

Khi nào cần đến gặp bác sĩ ngay?

Nếu sau 1-2 tuần kể từ khi lấy cao răng, nướu vẫn còn đau, dễ chảy máu khi chải răng hoặc có dấu hiệu tiếp tục tụt xuống thay vì ổn định, bạn nên sớm quay lại nha khoa để kiểm tra.

Việc thăm khám kịp thời giúp bác sĩ đánh giá chính xác tình trạng nướu và phát hiện sớm các vấn đề như viêm nướu hoặc viêm nha chu để có hướng điều trị phù hợp.

4. Lấy Cao Răng Bị Tụt Lợi Có Nguy Hiểm Không?

Tụt lợi sau khi lấy cao răng khiến nhiều người lo lắng về nguy cơ ảnh hưởng đến sức khỏe răng miệng. Tuy nhiên, mức độ nguy hiểm còn phụ thuộc vào nguyên nhân và tình trạng nướu cụ thể của từng người.

Khi nào tụt lợi sau khi lấy cao răng không đáng lo?

Nếu bạn vừa lấy cao răng sau thời gian dài không vệ sinh nha khoa, hoặc lần này cao răng được làm sạch kỹ hơn trước, việc nướu trông thấp hơn một chút là khá phổ biến. Nếu không kèm theo các triệu chứng như ê buốt kéo dài, đau hoặc chảy máu nướu, thì đây thường chỉ là phản ứng bình thường khi nướu trở về vị trí tự nhiên sau khi lớp cao răng và tình trạng sưng viêm được loại bỏ.

Khi nào cần can thiệp nha khoa?

Tụt lợi cần được chú ý khi phần chân răng lộ ra nhiều, gây mất thẩm mỹ, ê buốt thường xuyên hoặc làm tăng nguy cơ sâu chân răng do mất lớp bảo vệ tự nhiên. Trong những trường hợp nặng, nếu không điều trị kịp thời, tụt lợi có thể tiến triển gây lung lay răng và thậm chí mất răng. Vì vậy, nên thăm khám nha khoa sớm khi xuất hiện các dấu hiệu bất thường.

Lấy cao răng bị tụt lợi do nguyên nhân gì? Cách xử lý đúng - ảnh 6

5. Cách Khắc Phục Tình Trạng Tụt Lợi Sau Khi Lấy Cao Răng

Tụt lợi sau khi lấy cao răng có thể cải thiện nếu được chăm sóc và điều trị đúng cách. Tùy vào mức độ tụt lợi và nguyên nhân gây ra, bác sĩ sẽ hướng dẫn các biện pháp chăm sóc tại nhà hoặc chỉ định phương pháp điều trị phù hợp.

Trường hợp tụt lợi nhẹ, có thể chăm sóc tại nhà

Nếu tụt lợi ở mức độ nhẹ và chủ yếu do nướu đang phục hồi sau viêm, bạn có thể cải thiện bằng cách chăm sóc răng miệng đúng cách:

  • Chải răng đúng kỹ thuật: sử dụng bàn chải lông mềm, chải nhẹ theo hướng từ nướu xuống răng, tránh chải ngang mạnh tay.
  • Làm sạch kẽ răng mỗi ngày: dùng chỉ nha khoa hoặc máy tăm nước để loại bỏ mảng bám mà không gây tổn thương nướu.
  • Súc miệng bằng nước muối sinh lý ấm trong 1-2 tuần đầu sau khi lấy cao răng để hỗ trợ kháng khuẩn và giúp nướu phục hồi.
  • Hạn chế thức ăn quá nóng, quá lạnh hoặc cay khi nướu còn nhạy cảm.

Lấy cao răng bị tụt lợi do nguyên nhân gì? Cách xử lý đúng - ảnh 7

Trường hợp tụt lợi do viêm nha chu cần điều trị chuyên sâu

Nếu tụt lợi liên quan đến bệnh nha chu, việc lấy cao răng thông thường chỉ là bước đầu. Bác sĩ thường sẽ chỉ định cạo vôi và làm phẳng mặt chân răng để làm sạch cao răng và mảng bám nằm sâu trong túi nha chu. Sau điều trị, bệnh nhân cần tái khám định kỳ để bác sĩ theo dõi và đánh giá lại tình trạng nướu sau khoảng 6-8 tuần.

Trường hợp tụt lợi nặng có thể cần phẫu thuật ghép nướu

Khi nướu tụt nhiều, gây mất thẩm mỹ hoặc ê buốt kéo dài, bác sĩ có thể chỉ định phẫu thuật ghép mô nướu. Phương pháp này sử dụng mô từ vòm miệng hoặc vật liệu ghép chuyên dụng để che phủ vùng chân răng bị lộ, giúp phục hồi đường viền nướu và bảo vệ chân răng. Tuy nhiên, người bệnh cần tuân thủ hướng dẫn chăm sóc sau phẫu thuật để đảm bảo quá trình hồi phục tốt nhất.

Lấy cao răng bị tụt lợi do nguyên nhân gì? Cách xử lý đúng - ảnh 8

6. Cách Lấy Cao Răng Đúng Chuẩn Để Hạn Chế Tụt Lợi

Lấy cao răng đúng kỹ thuật không chỉ giúp làm sạch mảng bám mà còn hạn chế tối đa nguy cơ tổn thương nướu. Thực hiện tại cơ sở nha khoa uy tín và duy trì lấy cao răng định kỳ sẽ giúp bảo vệ nướu và giảm nguy cơ tụt lợi.

Lấy cao răng định kỳ, tránh để vôi răng tích tụ quá lâu

Nhiều người chỉ đi lấy cao răng khi thấy vôi bám nhiều hoặc nướu khó chịu, thậm chí 3-5 năm mới thực hiện một lần. Điều này khiến cao răng tích tụ dày, bám chặt và có thể lan xuống dưới nướu, làm việc làm sạch khó hơn và dễ gây kích ứng nướu. Tốt nhất nên lấy cao răng định kỳ 6 tháng/lần với người có nướu khỏe mạnh, hoặc 3-4 tháng/lần nếu có tiền sử viêm nha chu.

Chọn nha khoa uy tín, bác sĩ có chuyên môn

Máy lấy cao răng siêu âm hiện đại giúp loại bỏ vôi răng hiệu quả và giảm tác động lên mô nướu. Tuy nhiên, yếu tố quan trọng nhất vẫn là tay nghề của người thực hiện. Bác sĩ được đào tạo bài bản sẽ biết điều chỉnh cường độ và thao tác phù hợp, tránh gây tổn thương ở vùng nướu mỏng hoặc đã có dấu hiệu tụt.

Lấy cao răng bị tụt lợi do nguyên nhân gì? Cách xử lý đúng - ảnh 9

Thông báo tình trạng sức khỏe trước khi lấy cao răng

Trước khi thực hiện, bạn nên thông báo cho bác sĩ nếu có tiền sử viêm nha chu, đang dùng thuốc chống đông máu hoặc mắc bệnh lý như tiểu đường. Những yếu tố này có thể ảnh hưởng đến phản ứng của nướu sau khi lấy cao răng và giúp bác sĩ điều chỉnh phương pháp điều trị phù hợp.

Chăm sóc nướu đúng cách sau khi lấy cao răng

Sau khi lấy cao răng, nướu cần thời gian để phục hồi. Trong 24-48 giờ đầu, nên tránh thức ăn quá cứng, quá nóng hoặc cay. Đồng thời vẫn cần vệ sinh răng miệng nhẹ nhàng nhưng đầy đủ, vì nếu bỏ qua việc làm sạch, mảng bám có thể tích tụ lại nhanh chóng và làm giảm hiệu quả của việc lấy cao răng.

Trong đa số trường hợp, lấy cao răng bị tụt lợi chỉ là dấu hiệu cho thấy tình trạng nướu thực tế vốn đã tồn tại từ trước, không phải do kỹ thuật lấy cao răng gây ra. Điều quan trọng là theo dõi đúng mức độ và chăm sóc nướu đúng cách để tránh tiến triển nặng hơn. Nếu bạn còn lo lắng về tình trạng nướu, hãy đến I-Medicare để được bác sĩ nha khoa thăm khám trực tiếp và tư vấn phương án điều trị phù hợp.

Tin liên quan

Liên hệ ngay!