Nguyên nhân răng bị thưa sau khi lấy cao răng và cách khắc phục

I-Medicare 07/03/2026 224
Chia sẻ:
Răng bị thưa sau khi lấy cao răng là tình trạng khiến nhiều người lo lắng, thậm chí nghĩ rằng răng đã bị tổn thương sau khi làm sạch răng. Thực tế, đây là hiện tượng khá phổ biến và có thể giải thích rõ ràng về mặt nha khoa. I-Medicare sẽ giúp bạn hiểu đúng nguyên nhân, khi nào cần lo lắng và cách xử lý phù hợp.
Bui Quoc Huy

Tư vấn chuyên môn bài viết

Nguyễn Hữu Tùng Lâm

1. Răng Bị Thưa Sau Khi Lấy Cao Răng Có Phải Bất Thường Không?

Nhiều người nhận thấy răng có vẻ thưa hơn sau khi lấy cao răng và lo lắng rằng răng đã bị ảnh hưởng. Thực tế, đây thường là hiện tượng bình thường và liên quan đến tình trạng cao răng tích tụ trước đó.

Hiện tượng này xảy ra với rất nhiều người

Nếu sau khi lấy cao răng bạn soi gương và thấy kẽ răng có vẻ rộng hơn trước, bạn không phải là trường hợp hiếm gặp. Đây là phản ứng khá phổ biến, đặc biệt ở những người lấy cao răng lần đầu hoặc đã lâu không làm sạch răng chuyên sâu.

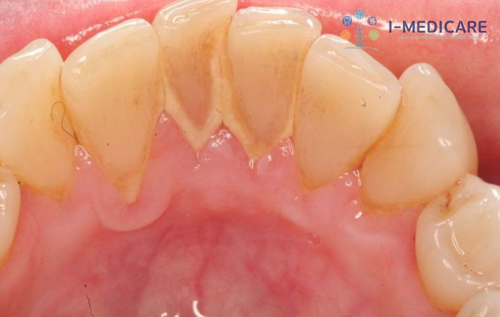
Tuy nhiên, cần hiểu rằng hiện tượng này không phải lúc nào cũng giống nhau ở mọi người. Có hai khả năng thường gặp: một là răng chỉ trông thưa hơn do cao răng đã được loại bỏ, hai là khe răng thực sự lộ ra do nướu đã bị ảnh hưởng từ trước. Việc phân biệt hai trường hợp này sẽ giúp bạn tránh lo lắng không cần thiết và nhận biết khi nào nên kiểm tra nha khoa.

Nguyên nhân răng bị thưa sau khi lấy cao răng và cách khắc phục - ảnh 1

Phân biệt cảm giác thưa

Trong đa số trường hợp, răng chỉ có cảm giác thưa hơn chứ không phải thưa thật sự. Khi cao răng (vôi răng) tích tụ lâu ngày, chúng có thể lấp đầy các kẽ răng và tạo cảm giác răng khít. Sau khi lấy cao răng, lớp vôi này được loại bỏ nên khoảng trống tự nhiên giữa các răng lộ ra, khiến bạn nghĩ rằng răng bị thưa hơn dù thực tế răng không hề dịch chuyển.

Tuy nhiên, một số trường hợp răng thưa thật sự có thể xảy ra nếu nướu bị viêm nặng và co lại sau khi làm sạch cao răng, hoặc trước đó đã có tình trạng tụt nướu nhưng bị cao răng che khuất. Khi gặp tình huống này, bạn nên được nha sĩ kiểm tra để đánh giá chính xác tình trạng nướu và răng.

Nguyên nhân răng bị thưa sau khi lấy cao răng và cách khắc phục - ảnh 2

2. Nguyên Nhân Khiến Răng Có Cảm Giác Thưa Sau Khi Lấy Cao Răng

Cảm giác răng thưa sau khi lấy cao răng thường xuất phát từ những thay đổi ở cao răng, nướu và mô quanh răng. Hiểu rõ các nguyên nhân phổ biến dưới đây sẽ giúp bạn biết vì sao hiện tượng này xảy ra và khi nà o cần chú ý.

Cao răng lấp đầy kẽ răng quá lâu

Cao răng không chỉ bám trên bề mặt răng mà còn tích tụ trong các kẽ răng và vùng sát viền nướu. Ở những người không lấy cao răng định kỳ (khoảng 6 tháng/lần), lớp vôi răng có thể tích lũy trong thời gian dài và dần lấp đầy các khoảng trống tự nhiên giữa các răng.

Khi nha sĩ loại bỏ hoàn toàn lớp cao răng này, các kẽ răng vốn có sẽ lộ ra rõ hơn, khiến nhiều người cảm thấy răng bị thưa dù thực tế đó chỉ là khoảng trống tự nhiên trước đây bị cao răng che phủ.

Nguyên nhân răng bị thưa sau khi lấy cao răng và cách khắc phục - ảnh 3

Nướu bị viêm và sưng trước đó đang xẹp xuống

Cao răng, đặc biệt là cao răng nằm dưới nướu, có thể gây viêm nướu kéo dài. Khi nướu bị viêm, mô nướu thường sưng phồng và lấp một phần các kẽ răng, khiến răng trông khít hơn bình thường.

Sau khi lấy cao răng, tình trạng viêm dần được cải thiện và nướu sẽ xẹp xuống, trở về trạng thái bình thường. Trong vài ngày đến vài tuần đầu, các kẽ răng vì thế có thể trông rộng hơn rõ rệt, tạo cảm giác răng bị thưa.

Nguyên nhân răng bị thưa sau khi lấy cao răng và cách khắc phục - ảnh 4

Tụt nướu tiềm ẩn được bộc lộ

Một nguyên nhân khác ít được chú ý là cao răng có thể che phủ phần cổ răng đã bị lộ do tụt nướu. Khi lớp cao răng được loại bỏ, phần cổ răng này sẽ lộ ra rõ hơn, khiến răng trông dài hơn và kẽ răng có vẻ rộng hơn.

Thực tế, đây là tình trạng tụt nướu đã tồn tại từ trước, chứ không phải do quá trình lấy cao răng gây ra. Tuy nhiên, nhiều người chỉ nhận ra sự thay đổi này sau khi cao răng được làm sạch hoàn toàn.

Nguyên nhân răng bị thưa sau khi lấy cao răng và cách khắc phục - ảnh 5

Phản ứng tâm lý sau khi thay đổi kết cấu răng miệng

Một yếu tố khác cũng thường gặp là sự thay đổi cảm giác trong miệng sau khi lấy cao răng. Khi lớp cao răng được loại bỏ, bề mặt răng trở nên nhẵn và sạch hơn, khiến lưỡi dễ chạm vào các kẽ răng hơn trước.

Chính cảm giác mới này khiến nhiều người tưởng rằng kẽ răng rộng hơn, trong khi thực tế cấu trúc răng và khoảng cách giữa các răng không hề thay đổi.

3. Răng Bị Thưa Sau Khi Lấy Cao Răng Có Nguy Hiểm Không?

Răng có cảm giác thưa sau khi lấy cao răng thường khiến nhiều người lo lắng, nhưng không phải lúc nào cũng là dấu hiệu bất thường. Việc hiểu đúng mức độ nguy hiểm của hiện tượng này sẽ giúp bạn biết khi nào có thể yên tâm và khi nào nên kiểm tra nha khoa.

Trường hợp không đáng lo ngại

Nếu cảm giác răng thưa xuất hiện ngay sau khi lấy cao răng và giảm dần trong khoảng 1-3 tuần, thì đây thường là phản ứng bình thường khi nướu phục hồi sau tình trạng viêm. Trong giai đoạn này, nướu sẽ dần ổn định và cảm giác kẽ răng rộng sẽ giảm đi.

Bạn có thể yên tâm nếu không xuất hiện các triệu chứng bất thường như đau nhức kéo dài, chảy máu nướu liên tục hoặc răng bị lung lay. Những dấu hiệu này mới là tình huống cần được nha sĩ kiểm tra thêm.

Trường hợp cần thăm khám lại

Ngược lại, bạn nên quay lại gặp nha sĩ sớm nếu xuất hiện các dấu hiệu sau:

  • Kẽ răng ngày càng rộng hơn, không thu hẹp dần sau khoảng 3-4 tuần
  • Nướu tiếp tục chảy máu, sưng hoặc có mủ
  • Răng lung lay hoặc trở nên nhạy cảm bất thường khi cắn, nhai
  • Xuất hiện đau âm ỉ hoặc nhức buốt kéo dài ở vùng nướu

Những triệu chứng này có thể liên quan đến viêm nha chu (periodontitis). Trong trường hợp này, việc lấy cao răng thông thường có thể chưa đủ để điều trị, và bác sĩ có thể cần thực hiện các phương pháp chuyên sâu hơn như cạo vôi dưới nướu (scaling & root planing) hoặc điều trị nha chu.

4. Bao Lâu Thì Cảm Giác Răng Thưa Sẽ Hết Sau Khi Lấy Cao?

Sau khi lấy cao răng, nhiều người nhận thấy các kẽ răng có vẻ rộng hơn hoặc cảm giác răng thưa hơn so với trước. Thực tế, đây thường chỉ là thay đổi tạm thời do nướu đang phục hồi sau khi mảng bám và cao răng được loại bỏ.

Thời gian phục hồi phụ thuộc vào mức độ viêm nướu ban đầu

Không có một mốc thời gian cố định áp dụng cho tất cả mọi người. Thời gian hết cảm giác răng thưa sau khi lấy cao răng phụ thuộc chủ yếu vào mức độ tích tụ cao răng và tình trạng viêm nướu trước đó. Nhìn chung, quá trình phục hồi thường diễn ra theo các mốc sau:

- Người lấy cao răng định kỳ, ít cao răng tích tụ: Cảm giác răng thưa thường giảm dần và biến mất sau khoảng 3-7 ngày, khi nướu bắt đầu săn chắc và ôm sát chân răng trở lại.

- Người lâu chưa lấy cao răng (1-2 năm hoặc lâu hơn): Do nướu từng bị viêm và sưng trong thời gian dài, mô nướu cần khoảng 2-4 tuần để xẹp hoàn toàn và ổn định.

- Người có viêm nướu nặng hoặc viêm nha chu nhẹ: Thời gian phục hồi có thể kéo dài 4-8 tuần, đặc biệt nếu trước đó cao răng tích tụ nhiều dưới nướu. Trong trường hợp này, việc chăm sóc răng miệng đúng cách tại nhà và tái khám theo hướng dẫn là rất quan trọng.

Nướu có khả năng phục hồi rất tốt nếu chăm sóc đúng

Sau khi lấy cao răng, mô nướu thường phục hồi khá nhanh khi môi trường khoang miệng được làm sạch. Việc đánh răng đúng cách, sử dụng chỉ nha khoa và súc miệng phù hợp sẽ giúp nướu săn chắc trở lại nhanh hơn, từ đó giảm dần cảm giác răng thưa.

Khi nào cần tái khám nha khoa?

Trong hầu hết trường hợp, cảm giác răng thưa sẽ cải thiện rõ rệt theo thời gian. Tuy nhiên, nếu sau khoảng 4 tuần nướu vẫn chưa ổn định và kẽ răng không có xu hướng thu hẹp lại, bạn nên đặt lịch tái khám nha khoa. Đây có thể là dấu hiệu cần đánh giá thêm về tình trạng nướu hoặc điều trị nha chu nếu cần thiết.

Nguyên nhân răng bị thưa sau khi lấy cao răng và cách khắc phục - ảnh 6

5. Cách Khắc Phục Răng Bị Thưa Sau Khi Lấy Cao Răng Hiệu Quả

Răng có cảm giác thưa sau khi lấy cao răng thường chỉ là hiện tượng tạm thời do nướu co lại khi mảng bám và vôi răng được làm sạch. Tuy nhiên, nếu tình trạng kéo dài hoặc gây khó chịu, vẫn có những cách khắc phục hiệu quả giúp nướu phục hồi và cải thiện thẩm mỹ răng.

Vệ sinh răng miệng đúng cách sau khi lấy cao răng

Đây là bước quan trọng nhất nhưng lại thường bị nhiều người bỏ qua. Sau khi lấy cao răng, răng và nướu vẫn đang trong giai đoạn nhạy cảm và cần thời gian phục hồi. Nếu vệ sinh răng miệng không đúng cách, vi khuẩn có thể nhanh chóng tích tụ trở lại, khiến nướu tiếp tục viêm và làm kéo dài cảm giác răng bị thưa.

Để hỗ trợ nướu phục hồi nhanh và giữ răng luôn sạch khỏe, bạn nên lưu ý một số điểm sau:

  • Đánh răng bằng bàn chải lông mềm, áp dụng kỹ thuật Bass: đặt bàn chải nghiêng khoảng 45° về phía viền nướu và chải rung nhẹ để làm sạch mảng bám quanh cổ răng.
  • Sử dụng chỉ nha khoa hoặc máy tăm nước mỗi ngày để làm sạch kẽ răng. Bước này đặc biệt quan trọng sau khi lấy cao răng vì các kẽ răng có thể tạm thời rộng hơn.
  • Súc miệng bằng nước muối sinh lý hoặc nước súc miệng kháng khuẩn không cồn trong 1-2 tuần đầu để hỗ trợ giảm vi khuẩn và giúp nướu phục hồi tốt hơn.

Nguyên nhân răng bị thưa sau khi lấy cao răng và cách khắc phục - ảnh 7

Dùng kem đánh răng hỗ trợ phục hồi nướu

Một số loại kem đánh răng chứa stannous fluoride hoặc các thành phần kháng khuẩn như cetylpyridinium chloride (CPC) có thể giúp giảm viêm nướu và hỗ trợ quá trình phục hồi sau khi lấy cao răng. Những hoạt chất này giúp hạn chế vi khuẩn gây viêm quanh nướu, từ đó cải thiện cảm giác khó chịu và giúp mô nướu ổn định nhanh hơn.

Tuy nhiên, không phải loại kem đánh răng nào cũng phù hợp để sử dụng ngay sau khi lấy cao răng. Vì vậy, bạn nên tham khảo ý kiến nha sĩ để được tư vấn sản phẩm phù hợp với tình trạng răng miệng cụ thể của mình.

Nguyên nhân răng bị thưa sau khi lấy cao răng và cách khắc phục - ảnh 8

Điều chỉnh chế độ ăn uống trong giai đoạn đầu

Trong 24-48 giờ đầu sau khi lấy cao răng, nướu thường nhạy cảm và dễ bị kích thích. Vì vậy, bạn nên tránh các loại thức ăn quá cứng, quá nóng hoặc quá chua, vì chúng có thể làm nướu đau rát và kéo dài thời gian phục hồi. Thay vào đó, hãy ưu tiên thức ăn mềm, ấm và dễ nhai để giúp nướu ổn định nhanh hơn. Ngoài ra, không hút thuốc lá trong giai đoạn này, vì thuốc lá là yếu tố làm chậm quá trình lành nướu và tăng nguy cơ viêm trở lại.

Khi nào cần can thiệp nha khoa chuyên sâu?

Trong một số trường hợp, cảm giác răng thưa sau khi lấy cao răng không chỉ do viêm nướu mà có thể liên quan đến viêm nha chu hoặc tụt nướu thật sự. Khi đó, nha sĩ có thể chỉ định các phương pháp điều trị chuyên sâu như:

  • Cạo vôi dưới nướu: làm sạch sâu các túi nha chu và bề mặt chân răng, giúp nướu có điều kiện bám trở lại.
  • Ghép nướu: áp dụng khi tình trạng tụt nướu nghiêm trọng và nướu không thể phục hồi tự nhiên.
  • Điều trị nha chu chuyên sâu: kết hợp vệ sinh răng miệng chuyên nghiệp và tái khám định kỳ 3 tháng/lần thay vì 6 tháng, nhằm kiểm soát vi khuẩn và bảo vệ mô nướu lâu dài.

6. Cách Lấy Cao Răng Đúng Chuẩn Để Không Gây Thưa Răng

Lấy cao răng đúng kỹ thuật không chỉ giúp làm sạch mảng bám và vi khuẩn mà còn bảo vệ cấu trúc răng và nướu. Thực hiện tại cơ sở nha khoa uy tín với quy trình chuẩn sẽ giúp hạn chế tối đa cảm giác răng thưa sau khi lấy cao.

Lựa chọn nha khoa và bác sĩ có chuyên môn

Kỹ thuật lấy cao răng ảnh hưởng trực tiếp đến tình trạng nướu sau khi thực hiện. Bác sĩ có kinh nghiệm sẽ điều chỉnh lực cạo phù hợp, tránh tác động mạnh vào mô nướu và làm sạch cao răng an toàn. Máy siêu âm hiện đại cũng giúp giảm sang chấn so với dụng cụ thủ công, nhưng tay nghề của bác sĩ vẫn là yếu tố quan trọng nhất. Vì vậy, nên lựa chọn cơ sở nha khoa uy tín, có bác sĩ được đào tạo bài bản và thăm khám kỹ trước khi thực hiện.

Nguyên nhân răng bị thưa sau khi lấy cao răng và cách khắc phục - ảnh 9

Lấy cao răng định kỳ thay vì để lâu mới thực hiện

Lấy cao răng định kỳ khoảng 6 tháng/lần giúp hạn chế tích tụ vôi răng và giảm nguy cơ viêm nướu. Khi lượng cao răng ít, nướu ít bị kích ứng nên sau khi làm sạch thường không xuất hiện cảm giác răng thưa rõ rệt. Ngược lại, nếu để 2-3 năm mới lấy cao răng một lần, nướu dễ bị viêm nặng và cần nhiều thời gian hơn để phục hồi.

Thông báo đầy đủ tình trạng sức khỏe cho bác sĩ

Trước khi lấy cao răng, bạn nên thông báo cho bác sĩ về các vấn đề sức khỏe như đang dùng thuốc chống đông máu, mắc tiểu đường hoặc có bệnh lý nướu. Những thông tin này giúp bác sĩ điều chỉnh kế hoạch điều trị phù hợp và hướng dẫn chăm sóc sau thủ thuật an toàn hơn.

Tái khám đúng hẹn sau khi lấy cao răng

Sau khi lấy cao răng khoảng 2-4 tuần, nên tái khám để bác sĩ kiểm tra tình trạng nướu và đánh giá quá trình phục hồi. Đây cũng là thời điểm phát hiện sớm các vấn đề như viêm nướu kéo dài hoặc viêm nha chu, từ đó có hướng xử lý kịp thời.

Răng bị thưa sau khi lấy cao răng trong đa số trường hợp chỉ là phản ứng tạm thời của nướu sau khi làm sạch vôi răng và thường sẽ cải thiện sau một thời gian ngắn. Hãy vệ sinh răng miệng đúng cách và theo dõi tình trạng nướu. Nếu cảm giác thưa không giảm hoặc kèm theo dấu hiệu bất thường, bạn nên thăm khám sớm tại I-Medicare để được bác sĩ nha khoa đánh giá và xử lý phù hợp.

Tin liên quan

Liên hệ ngay!